철산동치과 잇몸 뼈부터 회복하며 식립하는

안녕하세요. 이편한68플란트치과입니다!🙂
치아를 제때 관리하지 않으면
눈에 보이지 않는 곳에서
큰 문제가 생길 수 있습니다.
특히 구강 위생이
제대로 유지되지 않으면
잇몸에 염증이 생기고,
이로 인해 잇몸뼈가
서서히 녹아내릴 수 있는데요.
이렇게 잇몸뼈가 손상되면
자연치아는 물론
임플란트를 심기도
어려운 상황이 될 수 있습니다.
오늘은 철산동치과 이편한68플란트치과에서
양측 임플란트 식립을
진행한 환자분의 케이스를
소개해 드리겠습니다.

위 환자분께서는
치아가 상실되어 있는 부분을
비롯해서 어금니쪽의
잇몸병으로 인해
철산동치과 이편한68플란트를
내원해주셨는데요.
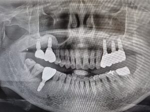
파노라마 사진을 촬영하여
확인해보니,
오른쪽 위 치아는
치아가 상실되었으며
왼쪽 위, 오른쪽 아래 어금니들이
잇몸병으로 인해
뼈가 많이 녹아있는 상황이었습니다.
육안으로도 잇몸의 부기가 뚜렷했고
전반적으로 치석이
많이 쌓여 있던 상황이었는데요.
이미 염증이 광범위하게 진행되었고
잇몸뼈의 흡수가 심해
기존 치아를 억지로 살리더라도
예후가 좋지 않을 것으로 판단되었습니다.
따라서 철산동치과에서는
4개 치아 발치 후 임플란트를 식립하며
위쪽 임플란트는 상악동거상술을
같이 진행하기로 하였습니다.

잇몸뼈가 많이 녹아버리면
임플란트를 심고 싶어도
뼈가 부족해 식립이 어렵습니다.
특히 윗 어금니 부위는
위쪽에 공기 주머니 같은
상악동(코 옆 빈 공간)이 있어
뼈가 얇은 경우가 많습니다.
이럴 땐 ‘상악동거상술’이라는
뼈 이식 수술을 통해
부족한 뼈를 먼저 만들어줘야 합니다.
쉽게 말해, 상악동의 바닥을
조심스럽게 들어 올린 뒤
그 아래에 인공 뼈를 넣어,
임플란트를 심을 수 있는
단단한 뼈 공간을 확보하는 과정입니다.
뼈가 어느 정도 자리를
잡을 때까지 기다린 후
임플란트를 심게 되며,
이런 과정은 안정적인 결과를 위해
꼭 필요한 단계입니다.

이렇게 상악동거상술 후
뼈가 자리를 잡고
안정화되는 기간을 충분히 거치면,
그 위에 임플란트를 안정적으로
심을 수 있는 기반이 마련됩니다.
보통 3~6개월 정도의
치유 기간이 필요하며,
이후 정밀 검사를 통해
뼈가 잘 형성되었는지 확인한 후
임플란트 식립이 진행됩니다.
충분한 뼈가 있어야 임플란트가
단단히 고정되고 오래 사용할 수 있기 때문에,
뼈 이식과 상악동거상술은
성공적인 임플란트 치료를 위한
핵심 과정이라 할 수 있습니다.
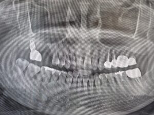
◆ 전 > 후 ◆

치료 마무리 후 환자분께서는
잇몸병으로 인해 입 냄새가 나고
식사도 편히 하지 못했던 이전과는 달리,
지금은 편안하게 식사를 하고
일상생활도 훨씬 자신감 있게
할 수 있게 되었다고 말씀해 주셨습니다.
이렇게 철산동치과 이편한68플란트의
양측 임플란트 식립 및 상악동거상술
사례를 소개해드렸는데요.

이편한68플란트치과는
근 20년 이상 한 자리에서
지역 주민과 함께하며,
단 한 건의 의료사고 없이
정직한 진료를 이어오고 있습니다.
4살이던 아이가 성인이 되어 다시 찾을 만큼
세대를 잇는 신뢰를 받고 있으며,
환자분들의 소개가 끊이지 않는 이유도
바로 그 진심 어린 치료에 있습니다.
임플란트가 고민되신다면
이편한68플란트치과에서
정밀한 진단과 따뜻한 진료를
경험해보시길 바랍니다.
감사합니다!💛
*모든 증례 사진은 의료법 제23조, 제 56조에 의거하여
환자분의 동의 하에 업로드가 진행되었습니다.
*치료 사진은 모두 본원에서 치료한 환자분의 사진입니다.
*치료 사진은 모두 동일인의 사진이며, 동일조건에서 촬영하였습니다.
*개인의 차이에 따라 시술 및 수술 후 부작용이 발생할 수 있으며,
의료진과 충분한 상담을 받으시기 바랍니다.